Facette dentaire
Vous êtes ici
Accueil >
Demander un devis ou des informations
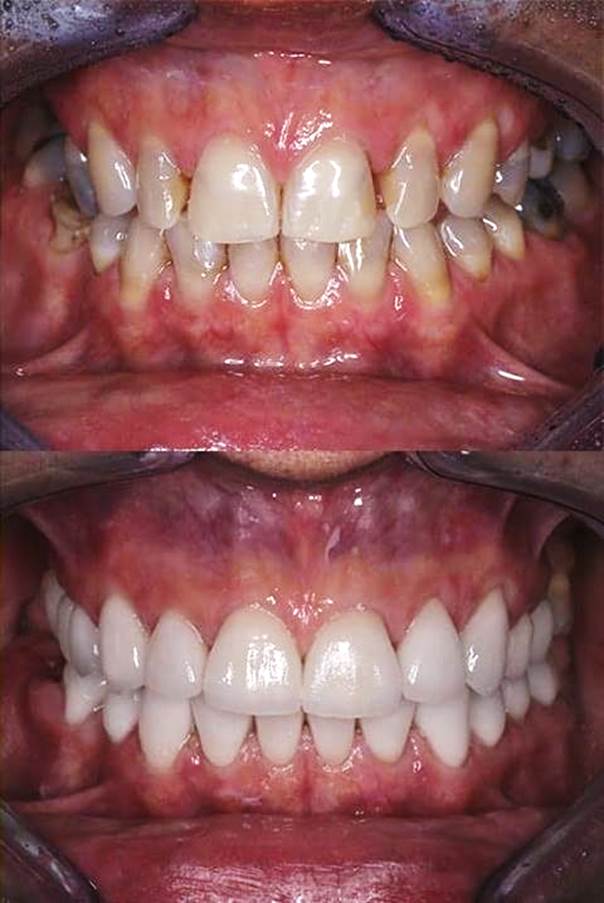
Un sourire esthétique avec des facettes dentaires

Les facettes dentaires sont la technique de dentisterie qui donne le plus de satisfaction aux personnes désirant améliorer leur sourire.
Rien de tel qu’un beau sourire éclatant pour avoir confiance en soi et ne plus penser à ses dents.
Les soins dentaires esthétiques sont de plus en plus à la mode ces dernières années.
Que ce soit pour avoir un sourire de star ou simplement effacer les traces du temps, les facettes dentaires sont la solution idéale pour redessiner votre sourire.
La pose de facettes dentaires est un acte de médecine dentaire qui doit être réalisé par un dentiste.
Avec les facettes en Céramique fines, il est possible de se faire poser des facettes pour corriger des défauts de sa dentition sans perdre l’intégrité de ses dents.

Voici un article complet sur les facettes avec des vidéos explicatives. Si vous n’avez pas le temps de tout lire, sachez que les 3 choses les plus importantes pour des facettes :
- Faire des facettes et non pas de couronnes – la différence est très importante et il ne faut pas se faire piéger,
- Prévisualisation du résultat par la technique du Wax-up+Mock-up,
- Analyse de l’occlusion de manière numérique.
Sommaire
Qu’est-ce qu’une facette dentaire ?
Différents types de facette dentaire
Facette dentaire en résine composite
Quel est le meilleur type de facette dentaire ?
Facette dentaire en Porcelaine céramique
Quelle est la meilleure marque de facette dentaire en céramique ?
Facette sans limer les dents : Mythe ou réalité ?
Epaisseur des facettes en céramique
Devis pour facette dentaire
Processus
Entretien et durée de vie
Ce qu’il faut savoir avant de poser des facettes
Facette Vs. Alignement et Orthodontie
Facettes dentaires et Bruxisme
Avantages des facettes dentaires
Hollywood smile ou Sourire naturel ?
Qu’est-ce qu’une facette dentaire ?

Une facette dentaire est une prothèse dentaire, comme une coque très fine qui se colle sur la face avant d’une dent.
Elles sont un peu comme une tuile. L’épaisseur d’une facette dentaire est très faible : Minimum 0.1 mm, soit l’épaisseur d’une feuille de papier, mais généralement 0.2 ou 0.3 mm.
Leur objectif est de recouvrir la face visible d’une dent afin de corriger les défauts visuels.
Chaque facette est fabriquée sur mesure avec une grande précision pour s’adapter parfaitement à chaque dent.
La facettes dentaires se collent sur des dents saines. Elles ne peuvent pas servir à masquer des caries. Les caries, les problèmes de gencive ou parodontite doivent être soignés au préalable avant d’avoir recours à l’esthétique dentaire. Avec le détartrage, ce sont les deux étapes préliminaires avant les facettes.
Différents types de facette dentaire
Il existe de nombreux noms pour les facettes dentaires, dont certains signifient la même chose.
En réalité il n’y a que 2 catégories de facette :
- Facette dentaire en résine composite
- Facette dentaire en céramique ou porcelaine
Facette dentaire en résine composite
La résine est un polymère (genre de plastique). Même si de belles innovations ont été faites dans la qualité des résines avec notamment les résines composites modernes, ce type de matériau n’est pas aussi durable. La durée de vie d’une facette en résine composite est d’environ 3 ans. Les facettes en résine sont aussi plus épaisses, et les dents doivent donc être taillées sur 1 à 2 mm pour ne pas créer de sur-épaisseur sur la dent. Si les dents sont en bon état, il est dommage de devoir tailler des dents saines car en retirant 1 millimètre, tout l’émail est perdu. Il est alors impossible de ne pas remplacer une facette perdue car la dent en dessous a été limée jusqu’à la dentine. Enfin, la résine finit par jaunir avec le temps.
Même si cette solution est moins chère à court terme, comme il faut remplacer les facettes tous les 3 ans, cela reviens plus cher en fin de compte.
Quel est le meilleur type de facette dentaire ?
Le meilleur type de facette dentaire est la facette en céramique qu’on appelle aussi facette en porcelaine, voire parfois facette en porcelaine céramique.
Par rapport à la facette en résine composite, la facette en céramique est plus fine, plus esthétique et plus durable.
Voici plus de détails sur leurs différences…

Facette dentaire en céramique ou porcelaine
De nombreux noms ou marques correspondent à ce type de facettes :
- Facette pelliculaire car elles sont très fines (minimum 0.1 mm)
- Facette en porcelaine ou céramique : même si en général il existe des différences entre la porcelaine et la céramique, dans le cas des facettes dentaires il s’agit en fait de la même chose. On parle aussi parfois de Porcelaine-céramique.
- Facette E-max : La céramique Emax est le type de porcelaine-céramique le plus esthétique et le plus durable du marché.
- Facette River 8 est une marque de facette prêt à porter, donc elles ne sont pas faites sur mesure.
- Facette Zircone Procera est une gamme de la marque Nobel Biocare (marque d’implants dentaires). Ces facettes en Zircone ne sont pas vraiment en céramique, elles sont donc plus épaisses (0.6 mm) et le Zircone est plus opaque.
Quelle est la meilleure marque de facette dentaire en céramique ?
La porcelaine céramique Emax est ce qui se fait de mieux. En effet, ce type de céramique ressemble exactement à de l’émail naturel grâce à une légère translucidité. Ensuite, il est légèrement souple ce qui évite le risque de casse et offre donc une bonne durabilité. Enfin, une facette en céramique Emax peut être aussi fine qu’une feuille de papier, cela ne nécessite donc pas toujours de tailler la dent.
Il est aussi possible de faire des facettes en Zircone, mais elles sont plus épaisses et plus cassantes que les facettes en céramique. De plus le Zircone ne possède pas de translucidité pour un effet naturel.
Facette sans limer les dents : Mythe ou réalité ?
Auparavant il n’existait que des facettes en résine (plus épaisses 1 à 2 mm). Lorsque les facettes dentaires en céramique, qui peuvent être très fines, sont arrivées sur le marché, elles ont été qualifiées de facettes « sans limer les dents ». Or il s’agit d’un abus de langage. Certes si on compare les facettes en résine et celles en céramique, celles en céramique donnent l’impression qu’il ne faut pas limer les dents.
Mais attention, une préparation de surface est toujours nécessaire afin de permettre à la colle de bien adhérer à la dent. La surface de la dent doit donc toujours être légèrement poncée.
De plus, même si une facette pelliculaire en céramique peut ne faire que 0.1 mm, en général pour donner un résultat qui correspond bien à la demande du patient, la majorité des facettes feront entre 0.2 et 0.4 mm.
Donc même si on ne « taille » pas 1 à 2 mm de la dent, il faut souvent retirer entre 2 et 4 dixièmes de millimètre en surface (épaisseur de 2 à 4 feuilles de papier).
Épaisseur des facettes en céramique
L’épaisseur minimale d’une facette céramique est de 0.1 mm. Avec cette faible épaisseur, il suffit juste de poncer légèrement la surface de la dent pour que la colle y adhère durablement.
Toutefois, en fonction de la demande du patient, il est parfois nécessaire de faire des facettes plus épaisses et de limer un peu plus la dent :
- Si le patient demande un résultat de couleur très blanches (B1) alors que ses dents sont actuellement assez jaunâtres (C4) : comme la céramique possède une légère translucidité afin de donner un aspect 100% naturel, l’épaisseur de la facette sera plutôt de 0.3 mm pour que celle-ci masque correctement la couleur d’origine.
- Si le patient souhaite corriger un défaut d’alignement avec une dent qui chevauche légèrement une autre, la dent chevauchante devra être limée afin de retirer suffisamment de matière pour l’aligner avec ses dents voisines.
Prix des Facettes dentaires
En France, une facette dentaire en céramique coûte en moyenne 1000€.
Les cliniques dentaires Newdentaire vous proposent des facettes dentaires en céramique E.MAX avec Wax-up à un prix raisonnable :
Nos facettes dentaires sont en Porcelaine Céramique Emax (de IPS Ivoclar) qui sont la gamme la plus esthétique et la plus durable.
- Clinique Newdentaire : 600€/facette céramique Emax avec Wax-up.
Laboratoire dentaire sur place
Les facettes dentaires sont fabriquées sur mesure dans notre propre laboratoire qui se trouve sur place dans le centre dentaire. Les dentistes et prothésistes travaillent ensemble avec les dernières technologies de dentisterie 3D.
Devis pour facette dentaire
Si vous souhaitez obtenir un devis de notre part pour des facettes, nous vous proposons une consultation dans l’un de nos cabinets à Paris, Nice, Bruxelles ou Liège. Si possible, apportez une radiographie dentaire panoramique récente.
Demander un devis ou des informations
Processus
La pose de facette dentaire est un processus indolore qui se fait sans besoin d’anesthésie.
Ce travail est très minutieux et demande une technique de grande précision.
-
- Préparation de surface
Détartrage et préparation de la surface des dents. Dans certains cas une épaisseur plus ou moins grande est retirée.
-
- Prévisualisation par Wax-up et Mock-up
Cette technique avancée n’est pas proposée par tous les dentistes. Elle est cependant très importante car elle permet de concevoir vos nouvelles dents directement dans votre bouche et de vous faire participer au design de vos nouvelles dents. Les facettes sont d’abord créées en cire (Wax-up) puis en résine (Mock-up) directement sur vos dents en bouche. Vous pouvez indiquer au dentiste les ajustements à faire pour la forme que vous souhaitez pour chaque dent et vous voyez le résultat en bouche en direct avant que les facettes en céramique ne soient fabriquées.

-
- Choix de la teinte
Le patient choisit la blancheur de ses nouvelles dents. Toutes les teintes sont possibles. Un nuancier est proposé au patient proposant différent mélanges de blanc avec des teintes plus ou moins grises et plus ou moins jaunes. Les nuances sont caractérisées par un code d’une lettre et un chiffre. Les lettres sont A, B, C, D et les chiffres sont 1, 2, 3, 4. La teinte la plus blanche est A1 et la plus foncée est D4. Si le patient désire faire uniquement une partie des dents de son sourire, il faudra faire les facettes de la même couleur que les dents naturelles restantes. Si le patient refait toutes les dents de son sourire (entre 14 et 20 dents), il peut choisir n’importe quelle blancheur.
-
- Empreinte dentaire
Prise d’un moulage dentaire afin de permettre au laboratoire prothétique de travailler sur les dents du patient à distance.

- Fabrication
Les facettes sont fabriquées par un prothésiste. Ce travail est très minutieux car les facettes doivent parfaitement s’adapter à la forme de la dent. Si un Wax-up a été réalisé, alors il suffit au prothésiste de répliquer celui-ci. En cas d’absence de Wax-up il se base sur son expérience afin de donner aux dents et au sourire une forme esthétique.
- Pose et collage définitif
Les facettes sont fixées de manière permanente sur les dents à l’aide d’une colle forte appelée ciment dentaire. Cette colle n’a rien à voir avec du ciment, elle se rapproche beaucoup plus d’un genre de super-glue à usage médical.


Entretien et durée de vie
Les facettes ne demandent pas d’entretien particulier. Les facettes en céramique ne changent pas de couleur avec le temps.
Un brossage et un contrôle de routine chez votre dentiste habituel 2 fois par an seront suffisants.
Une facette dentaire peut tenir entre 10 et 15 ans. Statistiquement sur 10 facettes posées aujourd’hui, dans 12 ans on sait que 9 facettes sur 10 seront encore en place et intactes. Une de ces facettes sera donc tombée ou abîmée. Par la suite il est toujours possible de remplacer une facette perdue.
Durée de vie des facettes EMAX
96% des facettes dentaires en céramique EMAX restent en place plus de 10 ans (télécharger le rapport d’étude EMAX).
Ce qu’il faut savoir avant de penser à poser des facettes
La pose de facette dentaire n’est pas un acte anodin comme la pose de faux ongles ou une coloration des cheveux.
Dans certains cas cela nécessite de poncer un peu la surface de vos dents.
Enfin lorsqu’une de vos facettes tombera, il faut envisager qu’il faudra peut-être la remplacer pour garder le sourire idéal que vous vous êtes créé.
Facette Vs. Alignement et Orthodontie
Une facette peut corriger le fait que la partie visible d’une dent soit légèrement de travers, par contre seule l’orthodontie peut corriger la position des racines.
Si toutes vos dents sont extrêmement mal alignées et que vous avez moins de 30 ans, la meilleure solution est probablement un traitement orthodontique. Cela implique de porter un appareil dentaire durant 2 ou 3 ans.
L’orthodontie permet de corriger les défauts d’alignement même les plus importants sans toucher à l’émail de vos dents, ce qui est idéal.
Chez certaines personnes il peut être envisagé d’avoir recours aux facettes après une phase d’orthodontie. Les facettes ne peuvent pas être posées avant ou pendant la phase d’orthodontie.
Les facettes dentaires peuvent corriger les défauts d’alignement légers. Il faut alors prendre en compte que certaines dents pourraient être légèrement limées pour corriger le défaut d’alignement.

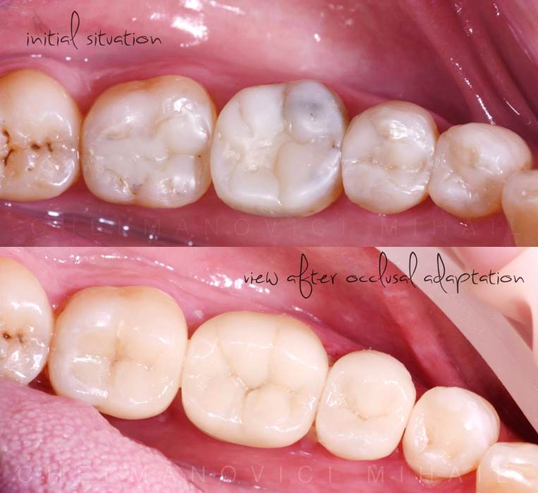
Facette dentaire et bruxisme
Un traitement par facettes dentaires peut aussi être conseillé par le dentiste en cas de bruxisme, c’est à dire lorsque la dentition est usée.
Pour un problème d’occlusion, les facettes dentaires sont une solution peu invasive, esthétique et fonctionnelle.
Elles sont alors placées sur la face usée de la dent à reconstruire.
En cas de bruxisme, le port d’une gouttière de protection pendant la nuit éviter d’user prématurément les facettes.
Avantages des facettes dentaires
Une facette dentaire permet de corriger les défauts d’ordre esthétiques suivants :

-
- Dents jaunes
Vous pouvez choisir des dents aussi blanches que vous le désirez. Les colorations des dents dues au café, à la cigarette ou aux médicaments sont masquées derrière la facette.
- Dents jaunes
Mais actuellement il ne suffit plus d’avoir des dents blanches, d’autres aspects sont tout aussi importants :
-
- Forme des dents
Que les dents soient trop petites, trop pointues, une facette cachera ce type de défaut.
- Forme des dents
-
- Dent cassée ou usée
Par exemple lorsqu’il manque juste un petit morceau au bout de la dent ou que celle-ci a été usée
- Dent cassée ou usée
-
- Symétrie du sourire
On sait maintenant qu’un visage symétrique sera naturellement considéré comme plus beau par le cerveau humain.
- Symétrie du sourire
-
- Alignement dentaire
Certaines personnes préfèrent désormais faire poser des facettes pour corriger les défauts d’alignement légers car cela leur évite de passer par un traitement orthodontique long et couteux.
- Alignement dentaire
- Dents écartées, dents du bonheurDes écartements légers entre les dents peuvent être corrigées.
Si l’écart est inférieur à 1mm, il est possible de poser 2 facettes sur les deux dents concernées en ajoutant 0.5mm. Si l’écart est plus important il faut prendre en compte que des dents trop larges pourraient ne pas être esthétiques. Dans certains cas il vaut mieux laisser tout de même un petit espace résiduel en corrigeant seulement une partie de l’écartement.
Les facettes dentaires donneront le même résultat esthétique qu’un blanchiment dentaire et de l’orthodontie, mais sans devoir passer par un appareil dentaire, donc le résultat est beaucoup plus rapide. Malheureusement, dans certains cas où le défaut d’alignement est très important, il ne sera pas possible d’obtenir des dents complètement alignées avec des facettes sans faire d’orthodontie. Pour cette raison, lors de la première consultation, nous examinons soigneusement vos dents afin d’établir un devis adapté.

Hollywood smile ou Sourire naturel ?
Grâce à la prévisualisation par Wax-up et comme les facettes sont fabriquées sur mesure, vous choisissez vous même l’aspect de votre nouveau sourire : forme des dents, couleur, alignement…
C’est donc à vous de choisir entre un sourire parfait de star, le « hollywood smile » ou un sourire plus naturel en conservant certains légers défauts sur vos dents qui donneront un résultat plus naturel.
Le hollywood smile n’est pas forcément synonyme d’un aspect artificiel. Il est possible d’avoir un sourire parfait et blanc, sans paraître faux, grâce aux facettes en céramique Emax.
Toutefois, il faut se poser la question. Quel résultat attendez-vous ?
Exemple d’un patient assez jeune qui a préféré faire un travail très conservatif pour corriger certains défauts tout en gardant les caractéristiques générales naturelles de sons sourire :

Exemple d’une patiente qui a souhaité avoir des dents légèrement plus longues et beaucoup plus blanches :
